
Periodontite
Identificar e tratar é essencial para travar a perda dentária e proteger a saúde oral.
Periodontite na Clinoral
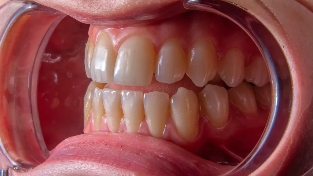
A Periodontite é uma doença gengival avançada que pode comprometer o osso e os tecidos que suportam os dentes.
Na Clinoral, em Leiria, o tratamento da periodontite é orientado para controlar a inflamação, estabilizar a doença e preservar os dentes sempre que possível, através de um plano personalizado e acompanhamento regular.
O que é a Periodontite?
É uma infeção crónica das gengivas que surge quando uma gengivite não é tratada.
Caracteriza-se pela destruição progressiva do osso e dos tecidos de suporte dos dentes, podendo levar à mobilidade dentária e, em casos avançados, à perda de dentes.
Principais sintomas / Quando é indicada avaliação?
A periodontite pode manifestar-se através de:
- Sangramento gengival frequente
- Gengivas inchadas ou retraídas
- Mau hálito persistente
- Sensibilidade dentária
- Mobilidade dos dentes
- Formação de abcessos gengivais
- Aumento de espaços entre os dentes
Importa salientar que a doença pode evoluir de forma silenciosa, sem dor evidente.
Como é realizado o tratamento da Periodontite?
O tratamento da periodontite é feito por fases:
- Avaliação periodontal detalhada
- Higienização profunda e controlo da infeção
- Orientação rigorosa de higiene oral
- Controlo de fatores de risco (ex.: tabaco)
- Plano de manutenção periodontal regular
- Acompanhamento a longo prazo
O objetivo é travar a progressão da doença e manter a estabilidade dos tecidos.
Vantagens do tratamento da Periodontite
- Controlo da inflamação gengival
- Redução do risco de perda dentária
- Melhoria do hálito e do conforto
- Preservação do osso de suporte
- Proteção de implantes e próteses
- Contributo para a saúde geral
Dúvidas Frequentes sobre Periodontite
1. A periodontite tem cura?
É uma doença crónica, mas pode ser controlada com tratamento e manutenção adequados.
2. Posso perder dentes por causa da periodontite?
Sim. Sem tratamento, a periodontite pode levar à perda dentária.
3. O tratamento é doloroso?
Normalmente é bem tolerado. Pode ser utilizada anestesia local quando necessário.
4. O tabaco influencia a periodontite?
Sim. O tabaco é um dos principais fatores de risco e dificulta o tratamento.
5. A periodontite pode voltar?
Pode reagudizar se não houver manutenção e bons hábitos de higiene oral.
6. A periodontite afeta a saúde geral?
Pode estar associada a outras condições de saúde, sendo importante o controlo da inflamação.
7. Quais os outros tratamentos que fazem na Clinoral?
Na Clinoral realizamos diversos tratamentos dentários e em várias especialidades. Poderá ver aqui todos os tratamentos e especialidades: Clique para ver.
Agendar Consulta de Periodontite
Na Clinoral, estamos preparados para o acompanhar em todas as fases do seu tratamento, com profissionalismo, proximidade e confiança.


